Malignant Phyllodes Tumor Treatment - Pdf Phyllodes Tumor Of Breast A Review Article Semantic Scholar / At sonography, cystic areas were more often seen in malignant than in benign tumors, but the difference was not statistically significant.

Malignant Phyllodes Tumor Treatment - Pdf Phyllodes Tumor Of Breast A Review Article Semantic Scholar / At sonography, cystic areas were more often seen in malignant than in benign tumors, but the difference was not statistically significant.. Borderline and malignant phyllodes tumor metastasis rate is about 25% to 31%, while the overall rate of all phyllodes tumor metastasis being 4% (8,9). Surgical management once a diagnosis of phyllodes tumor is confirmed or suspected, the mainstay of treatment is surgical excision. The sensitivity of core biopsy for the diagnosis of phyllodes tumor is greater than that of fna biopsy, but neither core biopsy nor fna biopsy can always differentiate phyllodes tumors from fibroadenomas. phyllodes tumor bfna or core biopsy may not distinguish a fibroadenoma from a phyllodes tumor in some cases. (fibroadenoma) benign phyllodes tumors are usually diagnosed at a younger age than the malignant type.

They are also associated with a higher rate of recurrence than their benign counterparts. malignant phyllodes tumor of the breast (mptb) accounts for less than 1% of whole breast neoplasm. phyllodes tumors (pts) of the breast are rare fibroepithelial neoplasms composed of connective tissue stroma and epithelial elements 1, 2.the mean age at diagnosis is around 40 years .pts represent up to 0.5% of all breast tumors and are categorized into benign, borderline, and malignant subtypes. malignant phyllodes tumors of the breast occur infrequently and are difficult to treat with chemotherapy. malignant phyllodes tumors of the breast are poorly understood rare neoplasms with potential for aggressive behavior.

Phyllodes Tumour Mypathologyreport Ca
Phyllodes Tumour Mypathologyreport Ca from www.mypathologyreport.ca
They tend to grow quickly, but they rarely spread outside the breast. A phyllodes tumour is a growth of cells that forms a hard lump in the breast. (fibroadenoma) benign phyllodes tumors are usually diagnosed at a younger age than the malignant type. phyllodes tumor of the breast is an infrequently encountered fibroepithelial neoplasm, which accounts for 0.3% to 1% of all tumors. Primary breast neoplasms are rare in adolescent females, most of which are benign. There is substantial overlap in the imaging characteristics of benign and malignant phyllodes tumors. In general, phyllodes tumor may be classified as benign, malignant, or borderline tumor based on their behavior. The most common site of phyllodes tumor is the breast.

1 a majority of breast phyllodes tumors are benign, and the remainder (25%) can be categorized as borderline or malignant, based on histologic features.

Such cases are classified into benign, borderline, and malignant Between 1982 and 1998, 37 women with malignant phyllodes tumor were treated at the regional cancer center, trivandrum. Clarifying the best treatment for these tumors. Descriptions of metastatic pt are limited in the literature. Other studies identified that fibroadenomas can progress to phyllodes tumors by conducting clonal analysis. phyllodes breast tumors (pt) range from benign lesions to malignant ones that may give distant metastasis. malignant phyllodes tumors of the breast are a rare entity. The effect of the extent of resection and tumor characteristics on patient outcome. Learn more about phyllodes tumors. The sensitivity of core biopsy for the diagnosis of phyllodes tumor is greater than that of fna biopsy, but neither core biopsy nor fna biopsy can always differentiate phyllodes tumors from fibroadenomas. At sonography, cystic areas were more often seen in malignant than in benign tumors, but the difference was not statistically significant. phyllodes tumor of the breast (ptb) is a rare type of biphasic fibroepithelial neoplasms that include the breast stroma and epithelium, which comprise only 0.3 to 1 percent of all breast tumors in women ().the world health organization (who) classified phyllodes tumors into benign, borderline, and malignant categories based on histological characteristics. Our objective was to provide an overview of the clinical, pathologic, and therapeutic aspects of this rare tumor.

Based on histologic features, including nuclear atypia, stromal cellularity, mitotic activity, tumor margin appearance, and stromal. Surgical management once a diagnosis of phyllodes tumor is confirmed or suspected, the mainstay of treatment is surgical excision. And, as with many forms of breast cancer, phyllodes tumor is rare in men. phyllodes tumors (pts) of the breast are rare fibroepithelial neoplasms composed of connective tissue stroma and epithelial elements 1, 2.the mean age at diagnosis is around 40 years .pts represent up to 0.5% of all breast tumors and are categorized into benign, borderline, and malignant subtypes. The purpose of our study was to define optimal surgical treatment and to identify factors associated with outcome.

Https Encrypted Tbn0 Gstatic Com Images Q Tbn And9gcrrmlrxi34 R71onqwa Bovcfi5altqmq0aa 43svm5g Pfioth Usqp Cau
Https Encrypted Tbn0 Gstatic Com Images Q Tbn And9gcrrmlrxi34 R71onqwa Bovcfi5altqmq0aa 43svm5g Pfioth Usqp Cau from
In this series, we present three cases of malignant pt metastatic to various unusual sites including the peritoneum, soft tissue of the thigh, and scalp. phyllodes tumors are rare fibroepithelial lesions, which account for <1% of all breast neoplasms. Collected data suggests that breast radiation following surgery for a malignant phyllodes tumor is beneficial when there's concern that a tumor could not be completely removed, or that not enough normal tissue. In more advanced cases, a phyllodes tumor can cause an ulcer on the chest skin. 1 a majority of breast phyllodes tumors are benign, and the remainder (25%) can be categorized as borderline or malignant, based on histologic features. However, the extent of surgery remains controversial. phyllodes tumors of the breast are rare, accounting for less than 1% of all breast tumors. phyllodes tumors are rare breast neoplasms.

malignant phyllodes tumors are rare fibroepithelial breast neoplasms.

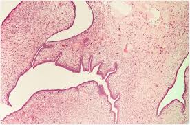
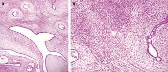
phyllodes tumors can occur at any age> They may be considered benign, borderline, or malignant depending on histologic features including stromal cellularity, infiltration at the tumor's edge, and mitotic activity. Our objective was to provide an overview of the clinical, pathologic, and therapeutic aspects of this rare tumor. phyllodes tumors (pts) of the breast are fibroepithelial tumors composed of two interdependent cellular compartments: treatment failure results in the occurrence of distant metastasis—mainly to the lungs, bones, liver, and brain. phyllodes tumors are rare breast neoplasms. malignant phyllodes tumors tend to be limited to the breast tissue. And although in borderline and malignant phyllodes tumors have very minimal risk of returning, they still can, a risk which is higher with the malignant ones. phyllodes tumor of the breast is an infrequently encountered fibroepithelial neoplasm, which accounts for 0.3% to 1% of all tumors. These subtypes are able to better predict the prognosis of the patient. If they return following treatment, it's often in the same breast. Appropriate surgical management remains a subject of debate. Primary breast neoplasms are rare in adolescent females, most of which are benign.

phyllodes tumor (pt) of the breast, particularly malignant phyllodes tumor (mpt), is a rare fibroepithelial neoplasm. After the successful treatment of phyllodes tumors of the breast, your doctor will keep a close watch on you. Sonography showed solid, hypoechoic masses in 28 cases. And, as with many forms of breast cancer, phyllodes tumor is rare in men. Clarifying the best treatment for these tumors.

Phyllodes Tumors Of The Breast Springerlink
Phyllodes Tumors Of The Breast Springerlink from media.springernature.com
malignant phyllodes tumors tend to be limited to the breast tissue. They tend to grow quickly, but they rarely spread outside the breast. The effect of the extent of resection and tumor characteristics on patient outcome. phyllodes tumor of the breast (ptb) is a rare type of biphasic fibroepithelial neoplasms that include the breast stroma and epithelium, which comprise only 0.3 to 1 percent of all breast tumors in women ().the world health organization (who) classified phyllodes tumors into benign, borderline, and malignant categories based on histological characteristics. Recovery after phyllodes tumors of the breast. (fibroadenoma) benign phyllodes tumors are usually diagnosed at a younger age than the malignant type. At sonography, cystic areas were more often seen in malignant than in benign tumors, but the difference was not statistically significant. Benign, borderline, and malignant, based on stromal cellularity, stromal cell mitotic activity, stromal nuclear atypia, stromal overgrowth and type of borders.

12, but usually develop in women in their 40s.

Learn more about phyllodes tumors. Collected data suggests that breast radiation following surgery for a malignant phyllodes tumor is beneficial when there's concern that a tumor could not be completely removed, or that not enough normal tissue. Introduction phyllodes tumor (pt) of the breast is a rare fibroepithelial neoplasm, representing 0.3 to 1% of all breast tumors 1. Few efficacious treatment options exist for progressed or metastatic disease. malignant phyllodes tumors tend to progress rapidly though only 1.5% metastasize. Survival was estimated using the kaplan‐meier method. malignant phyllodes tumors of the breast are infrequent, and effective chemotherapy strategies are lacking. phyllodes tumors are rare fibroepithelial lesions, which account for <1% of all breast neoplasms. malignant phyllodes tumors are rare fibroepithelial breast neoplasms. Appropriate surgical management remains a subject of debate. Such cases are classified into benign, borderline, and malignant phyllodes tumor (pt) of the breast is an uncommon fibroepithelial neoplasm with proliferation of both epithelial and stromal components, accounting for less than 1% of all breast tumors. malignant phyllodes tumors of the breast are poorly understood rare neoplasms with potential for aggressive behavior.

If your tumor is malignant, you may need more aggressive surgery and other treatment phyllodes tumor malignant. Up to 20% of malignant phyllodes tumors (pt) metastasize, most frequently to the lungs, bone, and brain.

Post a Comment

0 Comments